top of page
Giving the tooth a second chance
​
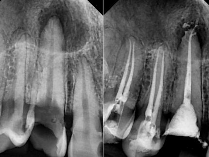
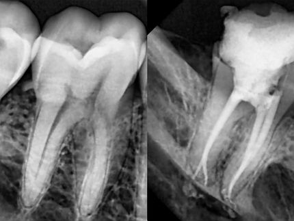
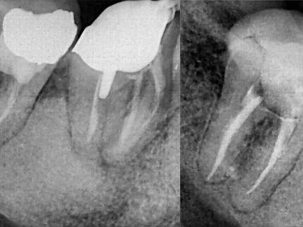
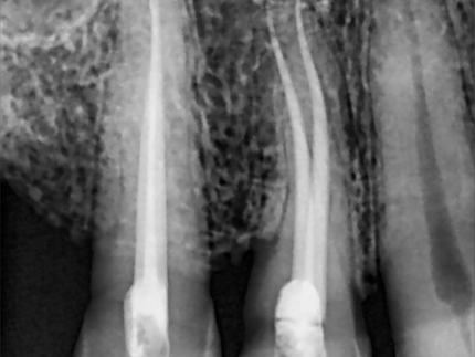
Endodontic treatment aims to repair and save a badly damaged infected tooth. the procedure involves removing the damaged pulp or nerve, cleaning disinfecting it, and then filling and sealing it.
​
The following cases were done using MTWO rotary endodontic instruments by VDW for fast and safe root canal preparation.


bottom of page













